歯のウィッグ スナップオンスマイル

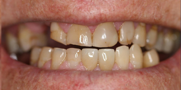
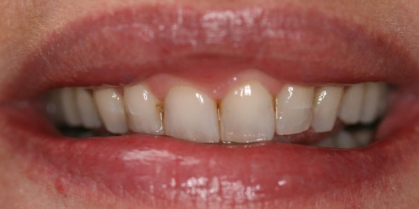
「スナップオンスマイル」は全米で200万人以上に愛用されている「歯のウィッグ」です。歯形を元にウィッグを作るので、最短たった2回でパーフェクトスマイルがあなたのものになります。本当の歯のようにつるつるで、着脱可能で掃除なども容易に行えます。「スナップオンスマイル」を着けることで、パーフェクトスマイルを手に入れましょう。


例えば つけ爪のように、例えば ウィッグやエクステのように オン・オフが気軽にできるものが 歯にもあっていいわけです。
気軽に美しいスマイルラインを獲得したい方、歯を削って差し歯にすることがどうしても嫌な方、部分入れ歯がどうしても駄目な方、「スナップ オン スマイル」はそのような方の為にアメリカで誕生しました。
スナップオンスマイルは多くのハリウッドスターに愛用されるパーフェクトスマイルのための歯のウィッグです。


こんな方にオススメ!

  • 結婚式や記念写真までに早くキレイな歯を手に入れたい
  • 同窓会など大事な集まりにキレイな歯で参加したい
  • 忙しいので何回も歯医者に通えない
  • 自分の歯を削りたくない
  • 歯の色が気になっている
  • 歯並びが悪い
  • 歯の隙間が気になる
  • ガミースマイル



DenMatのSnap-on smile(スナップオンスマイル)と偽った悪用商品が増加しています。

Snap-on smileはオーダーメイドの製品であり、『歯科医院』でのみ提供している自費診療となります。

一般の通販サイト等で販売されているものは全て詐欺商品ですのでご注意ください。

スナップオンスマイルは多くのハリウッドスターに愛用されるパーフェクトスマイルのための歯のウィッグです。

スナップオンスマイル作製の流れ

①型取り
 口腔内スキャナーで撮影しながら3Dの歯形をとります

②完成







スナップオンスマイルの利点

  • 短期間でキレイな歯が手に入る(最短2回)
  • 歯を削る必要がない
  • 麻酔をしない、痛みがない
  • 好きな歯の色、歯並びにできる
  • 簡単に着脱できる
  • 着けたまま簡単な飲食も可能


スナップオンスマイルの料金

片顎 ¥198,000(税込)
両顎 ¥352,000(税込)

Q&A

  • 完成までにどれくらいかかりますか
    約1ヶ月でお渡し可能です
  • 着脱は簡単ですか?
    手で簡単に着脱できます
  • どんな歯並びでもつくれますか?
    出っ歯の方や歯の形態によっては無理な場合があります


当サイト内の自由診療項目について

■通常必要とされる治療内容、費用などについて

審美治療、矯正治療等は基本的に保険適用外診療で、患者さんが全額負担する自費診療となります。治療内容、メリット・デメリット、特徴等については各治療項目等に記載されていますが、ご不明点については、お気軽に当院へお問い合わせ下さい。

■治療リスク・副作用について

安全、安心、長期安定な医療に全力を尽くしますが、しかし残念ながら医療は本質的に不確実・不確定なもので、例えば脱離(取れる)、破損(壊れる)、破折(歯が折れる)、再発(再発病)等全ての医療にはリスクが伴います。医療の不確実性は、各個人の複雑性や有限性、多様性、医学の限界に由来するものであり、全ての可能性を網羅できません。予想されるリスク、薬剤使用時の副作用等については、ご予約で来院の上、お気軽に歯科医師までご相談下さい。

■お問い合わせ

医療法人よつば承昊会 植村歯科 072-289-2418




〒599-8234 大阪府堺市中区土塔町3081